-
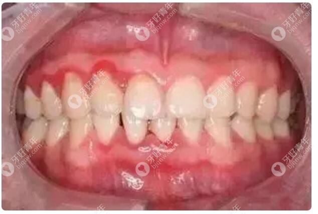
为啥一咬苹果牙龈就会经常出血?小心这是早期的牙周病哦~
2021-04-21 08:59:28 -
四环素牙该如何美白呢?推荐几个比较实用的方法给您~
2021-04-20 17:41:43 -
成人做矫正牙齿后要终身戴保持器,但不是您想的“一直戴“
2021-04-19 17:26:17 -
为了知道2021年种植牙多少钱一颗?我把各地种牙价格表都翻烂
2021-04-19 17:27:27 -
为什么嵌体修复比传统补牙更受欢迎?它的优势您知道吗?
2021-04-19 14:02:28 -
牙龈肿胀白色的脓包是什么原因造成的?真相竟是....
2021-04-15 17:50:51 -
9.9元就能抢美国3Mz250树脂补牙,景德镇这家牙科疯了!
2021-04-15 10:15:16 -
求解:7岁大牙凹槽有黑线但没洞也不疼,这种症状需要补牙吗
2021-04-14 17:36:43 -
四月优惠来袭,只要680元即可获得植适白皓得适牙齿美白一次
2021-04-14 16:45:15 -
谁说缺牙久了不能做即刻种植牙,来看60岁老爸的种牙案例~
2021-04-13 18:02:37 -
正畸收缝后还要多久能拆牙套?科普摘除牙套的合适时机
2021-04-13 14:08:05 -
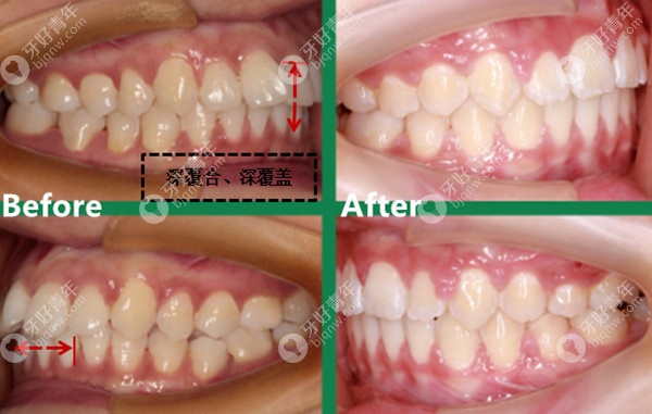
整牙可以改善上唇嘴突吗?22岁的我通过后推磨牙矫正做到了
2021-04-12 18:05:12 -
在正雅隐形的几个版本中,正雅GS版和悦享版的价格差异是啥
2021-04-09 15:58:23 -
牙齿烂掉了就剩下牙根怎么办?断牙残根一定要拔掉吗
2021-04-08 19:21:39 -
好好的牙齿出现裂缝怎么办?牙裂的原因和治疗方法你得知道
2021-04-08 18:55:48 -
牙齿拥挤不拔牙,20岁的我选择隐形矫正无翻车体验来喽~
2021-04-08 14:45:24 -
对于多年黄牙想变白,冷光美白/牙贴面能解决这个问题吗
2021-04-07 18:16:40 -
拔除疼痛的近中阻生智齿需要切开牙龈吗?
2021-04-07 15:24:36 -
别再为牙膏交智商税了,5块钱的牙膏和25块的牙膏并无区别
2021-04-06 18:44:55 -
撇开优缺点不谈,就说BPS全口吸附性义齿的价格贵吗
2021-04-06 16:35:37