整牙可以改善上唇嘴突吗?22岁的我通过后推磨牙矫正做到了
编辑:慕白 发表于 2021-04-12 18:05:12 来源:容易美口腔网处于22岁的年纪,别的小伙伴都特别青春阳光,而我却有点黯淡无光,而这根本原因是我的上前牙突从而导致了我上嘴唇突。看着集美们的精美自拍,整牙就像一颗种子在我心中开了花,下定决心后,我便开始了我的整牙之旅。

上车
一个风和日丽的周末,我和小伙伴去了口腔医院。
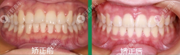
经过拍片,面诊医生告诉我,我的前牙覆合覆盖比较深,所以显得嘴突,而且从侧面看,我的颏唇沟也比较深,整体是属于低角下巴不后缩的症状,由于我口内的牙齿排列还算整齐,所以采用推磨牙的矫正方案。

在路上
确定了治疗方案,治疗也就随之开启。
由于我的整个下颌的的体部比较长,而且是低角型的,所以后磨牙区有足够的空间,需要先拔除四颗智齿来确保足够的空间。

拔完智齿,就进入正题了——选择牙套,进行推磨牙矫正。在选择牙套时,听医生说隐适美是做推磨牙的较好选择,而因为我的预算有限,我还是选择了金属托槽,但是好在我的医生技术过硬,在矫正后打骨钉的时候,也并没有过多疼痛,而且矫正效果甚好。

别看我现在的治疗效果不错,但是在治疗途中,我也一度想过放弃。
首先戴上牙套后口腔溃疡是家常便饭,吃饭也很容易塞牙,并且在一年之内前牙一直都没有看到效果,这让我感到十分沮丧。
后来在朋友的加油打气下,在一年后我还是如期复诊了,问了医生才知道推磨牙前期是看不到很大的变化。通过CT对比,让我重拾了信心,在医生的指导和自己的坚持下,终于在1年半后完成了矫正。

看到矫正后的牙齿,我在心里乐开了花,性格也开始慢慢开朗起来。看什么事情都格外美好。

到站
虽然我的推磨牙矫正成功了,但是为了预防复发,我坚持使用保持器,现在的我不仅笑起来也不再露龈,颏唇沟也浅了,可以自由自在做一个明眸皓齿的美少女了。
