-
半全口"一日得"种植牙技术好不好?据说当天种完就能吃东西
2021-04-06 16:32:44 -
对不起,沈阳百嘉丽口腔微创种植牙价格直降的消息,我才说
2021-04-02 12:01:40 -
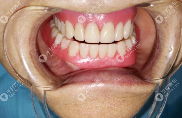
牙齿咬合重建的适应时间要多长?重建后达到的效果还不错哦
2021-04-01 19:03:55 -
良心分析为啥牙疼吃人工牛黄甲硝唑没效果
2021-04-01 16:54:11 -
使用率较高的国产种植牙品牌排行出土啦!还有价格表参考
2021-03-31 18:02:53 -
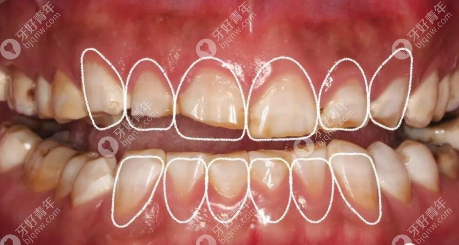
别问蛀牙坏到什么程度需要拔牙,告诉你仅需6步
2021-03-31 17:59:20 -
互动话题:为什么韩国种植牙便宜,像登腾3900元一颗的靠谱不
2021-03-31 17:04:42 -
种植牙一期二期三期基本流程步骤图解,二期和三期间隔多久
2021-03-26 15:42:11 -
种植牙中德国和意大利品牌哪个好?比如BB和ICX植体有啥区别
2021-03-26 15:38:38 -
老人做国产普通半口种植牙需要多少钱?5000和一万的区别在哪
2021-03-22 18:25:19 -
牙科X光辐射危害巨大是谣言不可信,拍小片相当于吃10根香蕉
2021-03-22 18:05:19 -
想知道国产百齿泰种植牙怎么样?必了解种植体有哪些优点
2021-03-22 11:02:46 -
致敬中国隐形矫正20年:时代天使材料MasterControlS换新登场
2021-03-18 16:35:37 -
目前比较好的种植牙品牌有哪些?韩国纽百特和登腾哪个好
2021-03-18 10:48:17 -
兰州张掖路皓亚口腔院长做一颗国产康盛种植体3680,收费贵吗
2021-03-15 18:03:29 -
种植牙和固定搭桥牙哪个好?看完镶牙和种牙的区别你就知道
2021-03-11 18:54:55 -
埋伏牙牵引正畸适合多大年龄?30岁成年人还能矫正成功吗?
2021-03-11 09:50:10 -
超全乎的国产和进口二氧化锆全瓷牙冠品牌,附价格表哦
2021-03-10 16:33:31 -
半口牙齿矫正会比全口正畸便宜吗?说下大概费用是多少钱呗
2021-03-08 17:08:52 -
法国安卓(多)健种植体是什么档次呢?详解其材质和寿命
2021-03-04 19:11:53