呼和浩特市口腔医院预约挂号2025最新攻略:3种方式+专家出诊时间全解析
编辑:星洛 发表于 2025-10-24 18:50:54 来源:容易美口腔网呼和浩特市口腔医院作为内蒙古自治区规模较大的公办3级一等口腔专科医院,提供电话、微信小程序和现场三种预约挂号方式,总院电话0471 - 5183334(工作日8:00 - 12:00/14:30 - 17:30接听)。www.easyjf.com2025年当下预约系统实现“3分钟极速预约”,热门科室如种植科、正畸科需提前7天抢号,医生号每日7:00 - 8:00集中放号。本文将详细解析三种挂号方式的操作流程、各科室医生出诊时间及就诊注意事项,帮助患者有效完成预约,避免因操作不当延误治疗时机。

一、呼和浩特市口腔医院预约挂号全渠道详解
呼和浩特市口腔医院提供三种官网预约挂号渠道,满足不同年龄段和就诊需求的患者。
1. 电话预约是较传统直接的方式,总院电话0471 - 5183334在工作日8:00 - 12:00和14:30 - 17:30有专人接听,适合不熟悉智能手机操作的老年患者或紧急就诊需求。电话预约时需准备好身份证号码、联系电话和症状描述,接线员会根据患者需求推荐合适科室和医生。
2. 微信小程序预约是2025年当下升级的线上挂号方式,通过“内蒙古自治区口腔医院患者端”小程序可实现全流程操作。具体步骤包括:
①微信搜索小程序名称或扫描官网二维码;
②完成实名认证(需上传身份证正反面照片);
③添加就诊人(较多5位);
④选择院区和科室。
特别提醒:热门科室放号时间不同,种植科每日7:00、正畸科7:30、儿童牙科8:00准时放号,医生号往往10秒内被抢光,建议提前复制好身份证号并连接稳定网络。
3. 现场挂号适合临时决定就诊或未能成功预约的患者,但需注意:总院1号窗口每日仅发放20个现场号,建议7:00前到达排队。复诊患者携带治疗单可享受优先挂号权。
三种方式对比来看,微信小程序成功几率较高(达85%),电话预约适合指定医生(成功几率约60%),现场挂号风险较大(成功几率不足30%)。
4. 急诊患者需注意:仅总院提供24小时急诊服务(牙痛、外伤等急症),拨打0471 - 5183334可直接转接急诊科。节假日期间电话服务时间调整为8:00 - 17:30,线上挂号系统全天候开放。为提升就诊效率,建议所有患者提前15分钟到院签到,迟到超过15分钟将自动取消预约并计入爽约记录,累计3次将暂停1个月预约权限。

二、呼和浩特市口腔医院重点科室及医生出诊时间
呼和浩特市口腔医院设有20个临床科室,其中种植科、正畸科和牙体牙髓科是患者需求较集中的三大特色科室。
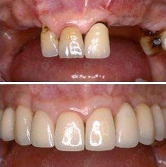
1. 种植科作为医院的明星科室,开展即刻种植、前牙美学修复和全口种植等特色项目,韩国登腾种植牙价格4120元起,比私立机构低30%左右。科室医生及捷医师(周三上午坐诊)擅长微创种植和骨增量技术,其号源需提前7天在小程序预约,平均等待时间约2周。eas&yjf.com
2. 正畸科提供从传统金属托槽到隐形矫正的全系列矫治方案,时代天使隐形矫正19800元起。副医生医师咏梅(周一周四全天)专注儿童早期矫正,其独研的“序列矫治法”可将疗程缩短30%。科室特色项目包括:
(1)青少年MRC肌功能矫正(3500元起)
(2)成人舌侧隐形矫正(3.5万元起)
(3)正畸 - 正颌联合治疗(5万元起)
3. 牙体牙髓科拥有西部地区前的显微治疗技术,显微根管治疗成功几率高达97%。副医师满都拉(周二周五上午)擅长处理钙化根管和复杂根管再治疗,其典型病例包括成功保留12年陈旧残根。科室配备德国蔡司显微镜和瑞士EMS激光治疗仪,可实现稳准基本不疼治疗。
4. 其他特色科室包括:
(1)儿童牙科:暑期开设夜间门诊至20:00
(2)牙周黏膜科:激光治疗收费800元/次
(3)口腔颌面外科:复杂智齿拔除1800元起
重要提示:医生出诊时间可能临时调整,建议就诊前通过小程序“医生排班”功能确认当下安排。复诊患者可通过电子病历系统实现跨院区就诊,如鼓楼院区初诊后可选择总院复诊,病历资料自动同步。

三、呼和浩特市口腔医院就诊全流程指南
成功预约后,患者需严格按时段就诊以避免资源浪费。就诊当日流程分为四个关键环节:签到候诊、分诊检查、治疗缴费和复查预约。
1. 智能分诊系统采用“签到顺序 + 预约优先级”交叉叫号规则,过号患者可顺延3位。总院一楼设有AI导诊机器人,通过语音输入症状即可获得科室推荐,恰当率达90%。
2. 治疗环节需注意:
(1)基础项目(洗牙、补牙)通常可当日完成
(2)复杂治疗(种植、矫正)需分次进行
(3)抗生素类药物需医生开具纸质处方
(4)中成药和西药可在自助机扫码领取
3. 费用支付方面,医院支持多种方式:
(1)政策结算:内蒙古自治区政策即时报销
(2)现金/刷卡:1 - 3楼均设收费窗口
(3)移动支付:小程序内可完成所有缴费
4. 治疗后服务是医院特色,主要包括:
(1)电子病历实时上传,支持手机查阅
(2)复查提醒系统自动推送
(3)治疗满意度评价机制
(4)投诉建议快速响应通道
5. 特别服务:针对特殊人群提供绿色通道:
(1)65岁以上老人免排队
(2)残疾人专属陪诊服务
(3)孕妇优先就诊权
(4)3岁以下儿童应急处理
6. 就诊后如遇问题,可拨打0471 - 5183334转接客服中心,工作时间内30秒快速响应。www.e&asyjf.com医院严格执行“首诊负责制”,确保每位患者得到连贯性治疗。对于需要多学科会诊的复杂病例,医院每周三下午组织医生团队集中讨论,为患者制定个性化治疗方案。

四、呼和浩特市口腔医院公办资质与价格优势
1. 呼和浩特市口腔医院创建于1985年,是呼和浩特市卫生健康委员会直属的公办3级一等专科医院,政府总投资1.2亿元建设。作为公办医疗机构,医院严格执行政府定价政策,种植牙项目价格较私立机构低30%以上,且无隐形消费。医院参与内蒙古自治区政策、呼和浩特市政策等报销体系,城镇职工政策报销比例较高达75%。
2. 医院公益属性体现在多个方面:
(1)承担政府指令性任务
(2)开展儿童窝沟封闭等公益项目
(3)贫困患者医疗救助
(4)下乡义诊活动
3. 价格透明度是公办医院的核心优势,主要项目明码标价:
(1)普通拔牙:100元起
(2)树脂补牙:200元起
(3)超声波洗牙:50元起
(4)全口种植(All - on - 6):10万元起
4. 与私立机构相比,公办医院的优势还包括:
(1)医生团队稳定(全部为在编人员)
(2)设备更新由政府拨款
(3)治疗流程规范化
(4)学术科研实力雄厚
5. 医院严格遵循《医疗广告管理办法》,杜绝夸大宣传和过度医疗。作为北京大学口腔医院技术协作单位,定期邀请国内有医生生坐诊,让患者在家门口就能享受我国级诊疗服务。医院年门诊量超20万人次,患者满意度连续5年保持在98%以上,是内蒙古地区较受信赖的口腔专科医疗机构。

总结来看,呼和浩特市口腔医院通过0471 - 5183334电话、微信小程序和现场三种方式提供预约挂号服务,作为公办公办专科医院,其价格透明、医生专门、设备高端。建议患者优先选择微信小程序预约,提前了解医生出诊时间,按时到院就诊。遇到紧急牙痛或外伤,可直接拨打总院电话转急诊科。无论是基础治疗还是复杂手术,在这里都能获得高性价比的专门服务,守护您的口腔健康。